当院について

Aboutour hospital

Introduction of medical equipment
医療設備のご紹介

狭帯域(NBI)内視鏡システム

当院では狭帯域内視鏡システム(NBI)を導入しています。
NBIシステムとは、粘膜表層の微細な血管を観察するシステムです。
内視鏡から特殊な波長の光を照射し粘膜の血管状態を観察することで、早期の咽頭癌、食道癌、胃癌、大腸癌など発見できる最新のシステムです。

NBI画像について

415nmと540nmでは粘膜組織への伝播深度が互いに異なります。
このことが血管の走行状態の描写能力にさらなる効果を与えます。415nmの狭帯域光は粘膜表層の血管像を茶系の色調で、540nmの狭帯域光は表層下の血管像をシアン系の色調で描写します。この色の違いによって、血管の走行状態のより豊かな表現が可能となります。

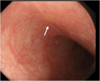
通常光による食道の観察像例

NBIによる食道の観察像例

NBIと拡大機能を併用した
食道の観察像例

狭帯域(NBI)システムとは

狭帯域内視鏡システム(Narrow BandImaging; NBI) は観察照明光の狭小化を行うことにより、今までの内視鏡では見えなかった浅い粘膜部分の血管や粘膜の細かいところまでとらえることができるようになりました。
これだけではわかりづらいと思いますので簡単にいうと、早期のがんは粘膜構造が破壊され、腫瘍血管といって粘膜の浅いところに異常な血管を形成するので、これらの像をこのような内視鏡システムによって拾い上げます。
さらに拡大内視鏡を使用して癌が疑われる部分を拡大することによりがんの範囲や進行度を診断することもでき内視鏡治療をする際の手助けになります。
この検査は通常の内視鏡を口から挿入して操作ボタンを切り替えるだけで簡単に観察ができ当院でも何例かの早期がんを発見しています。